До и после
ДО И ПОСЛЕ
Bиниры


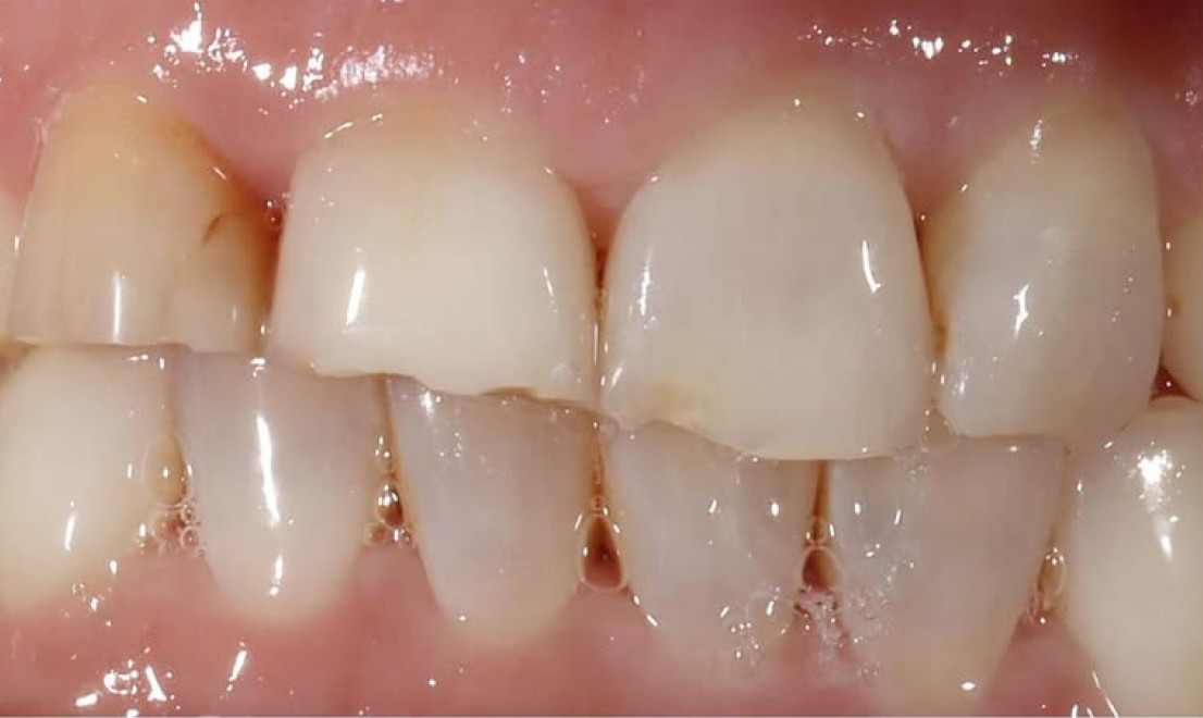
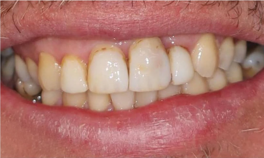
До
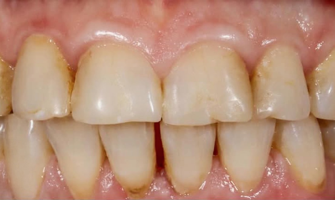
после


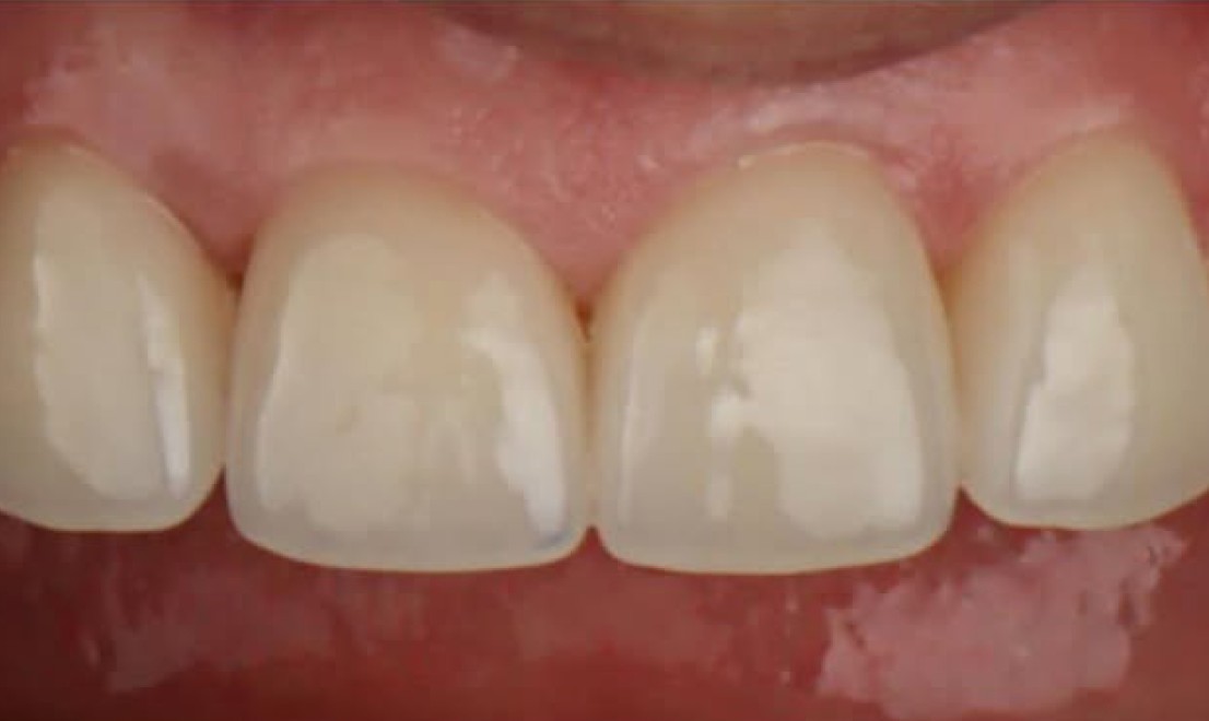
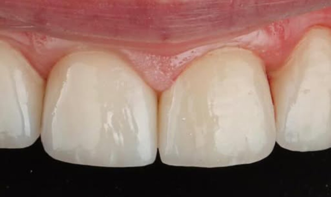
До
после


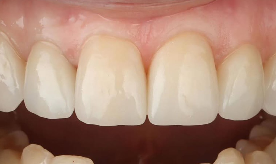
До
после


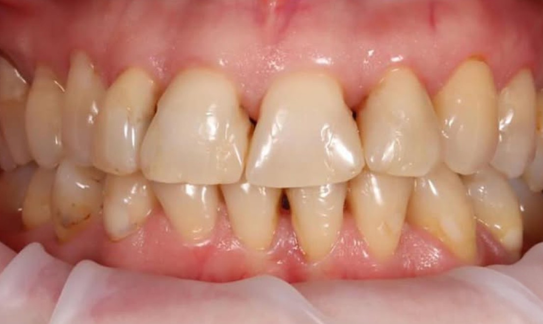
До
после


До
после


До
после


До
после


До
после


До
после


До
после


До
после


До
после


До
после


До
после


До
после


До
после
Имплантология


До
после


До
после
Протезирование


До
после


До
после


До
после
Отбеливание зубов


До
после


До
после