Veneers
Modern veneers offer solutions for various dental concerns, helping you achieve a smile you’ll love. The goal is to enhance both aesthetics and function, creating a natural, confident smile that complements your facial features.

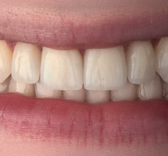
TEETH RESTORATION WITH VENEERS
- We start with a consultation where the dentist evaluates your teeth and discusses your goals.
- Together with your doctor, you’ll test and ensure that your veneers fit perfectly.
- After tooth preparation, custom veneers are crafted to fit the shape, size, and color.
- If necessary, we make final adjustments to ensure comfort and natural appearance. The dentist will provide care instructions to help maintain the longevity of your veneers.

features of veneers
Natural appearance
Veneers are custom-designed to match the color, shape, and size of your natural teeth, creating a seamless, realistic look that enhances your smile.
High resistance
Made from durable materials like porcelain, veneers are highly resistant to stains, ensuring your smile stays bright and beautiful over time.
Minimally invasive
Veneers require minimal tooth preparation compared to other dental treatments, preserving most of your natural tooth structure.
SMILE GALLERY




MEET YOUR DOCTORS
Our experienced dentists will transform your smile with aesthetic procedures.
Reviews
I’ve been coming to this clinic for a few years now – it’s modern and pleasant. This time I needed a faster appointment and got to see Dr. Butāns. I can’t imagine better care and professionalism from a dentist. Thank you!
Evita Kviese-Poliņa
The best dental clinic! They quickly and professionally restored a lost tooth with an implant and a zirconia crown. You can’t tell it apart from a real one. Thank you!!!
Yuriy Korolev
Great dental clinic with professional dentists. Surgery on a high level! Also prosthodontics are super with a great aesthetic vision! Recommend
Alexander “schuremann” Platz
I was so afraid to pull out my 4 wisdom teeth, but dr Spulle and his team did an amazing job, it was quick, not painful and the recovery was so easy, no swelling and no inflamation. Thank you so much! Im glad I came to this clinic.
Zane Pavāre
F.A.Q.
Find answers the the most common questions patients have. If you have more questions, register for a consultation where our specialist will provide all the information.
Veneers typically last between 10 to 15 years with proper care, although some may last even longer.
No, the process is generally comfortable, and local anesthesia is used during tooth preparation to ensure minimal discomfort.
Yes, veneers can help improve the appearance of slightly crooked or misaligned teeth, offering a straighter smile without the need for braces.
No, veneers require the same care as natural teeth – regular brushing, flossing, and routine dental check-ups will keep them in great condition.